Kollarda Kaşıntı ve Kabarma Belirtileri ve Tedavisi
Kollarda kaşıntı ve kabarma, çeşitli dermatolojik sorunlardan alerjik reaksiyonlara kadar pek çok nedenden kaynaklanabilir. Bu durumun belirtileri ve tedavi yöntemleri hakkında bilgi vererek, kişilerin sağlıklı cilt bakımı yapmalarına yardımcı olmayı amaçlamaktadır.
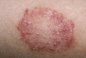
Kollarda kaşıntı ve kabarma, birçok insanın karşılaştığı yaygın bir durumdur. Bu belirtiler, çeşitli dermatolojik sorunlardan alerjik reaksiyonlara kadar birçok sebeple ortaya çıkabilir. Bu makalede, kollarda kaşıntı ve kabarmanın nedenleri, belirtileri ve tedavi yöntemleri ele alınacaktır. 1. Kollarda Kaşıntı ve Kabarma NedenleriKollarda kaşıntı ve kabarmaya neden olabilecek çeşitli faktörler bulunmaktadır. Bunlar arasında:
2. BelirtilerKollarda kaşıntı ve kabarma belirtileri, kişinin durumuna bağlı olarak değişkenlik gösterebilir. Genel olarak görülen belirtiler:
3. Tanı YöntemleriKollarda kaşıntı ve kabarma belirtileri ile başvuran bir hastada, tanı koymak için çeşitli yöntemler kullanılabilir:
4. Tedavi YöntemleriKollarda kaşıntı ve kabarmanın tedavisi, altta yatan nedene bağlı olarak değişir. Genel tedavi yöntemleri:
5. Önleme YöntemleriKollarda kaşıntı ve kabarmayı önlemek için bazı önlemler alınabilir:
SonuçKollarda kaşıntı ve kabarma, birçok farklı sebepten kaynaklanabilir ve tedavi yöntemleri de bu sebeplere bağlı olarak değişir. Eğer bu belirtiler sürekli hale gelirse veya şiddetlenirse, bir dermatologa başvurmak önemlidir. Unutulmamalıdır ki, erken müdahale, cilt sağlığını korumak ve olası komplikasyonları önlemek açısından oldukça kritiktir. |



















.webp)













.webp)

.webp)






.webp)




Hocam vucudumda kaşıntı kollarımda kaşıntı kabarma oluştu nedenleri ne ola bilir
Merhabalar. Meryem Hanım. Kollarda oluşan kaşıntı ve kabarmalar birçok nedenden kaynaklanabilir. Deri hastalıkları, iç hastalıklar, fiziksel etkenlerin yanında psikolojik etkenler kaşıntı ve kabarmaların sebepleri olabilir. Kollarda meydana gelen kaşıntılarda kabarmanın artmaması için kollarınızı fazla kaşımamaya özen göstermelisiniz. Kollarda kaşıntı ve kabarmalar sonucunda deride dökülmeler de meydana gelebilir. İyi günler dilerim.
Merhaba, meryem hanım büyük ihtimalle sizin vücudunuzun birşeye alerjisi var yada toza karşı bunun için doktora gitmelisiniz.